Comprehensive Dental Care

Services For Your
Whole Family

From routine cleanings to complete smile transformations, Kennedy Square Dental offers a full range of dental services — all under one roof, open 7 days a week.

12 Services Available

Everything Your Smile Needs

Our experienced team provides personalized dental care for patients of all ages. Browse all of our services below.

Dental check-up and preventive care Preventive
Preventive Care

Dental Hygiene

Preventative dentistry is the cornerstone of our practice. Our oral hygiene staff is passionate about making sure our patients take good care of their teeth and gums.

If you're experiencing ideal dental health, we will typically see you twice per year for oral hygiene appointments. Your hygienist will perform your treatments and take the time to answer any questions you may have.

  • Professional teeth cleaning and polishing
  • Oral cancer screening
  • Plaque and tartar removal
  • Brushing and flossing technique guidance
  • Gum disease monitoring
Book a Cleaning
teeth whiteningCosmetic
Cosmetic Dentistry

Teeth Whitening

Many of us feel that our smiles are most striking when our teeth look especially white, but unfortunately, soft drinks, coffee, tea, and tobacco can leave behind ugly stains.

Our professional whitening treatments help you restore your gleaming, bright white smile. Results are significantly more effective than over-the-counter products.

  • In-office professional whitening
  • Custom take-home whitening trays
  • Safe for sensitive teeth options
  • Long-lasting, noticeable results
Book Whitening
Invisalign Tray Orthodontics
Orthodontics

Invisalign Clear Aligners

Straighten your teeth discreetly with Invisalign clear aligners — custom-made for your smile. No metal brackets, no wires, just a comfortable path to a straighter, more confident smile.

Invisalign aligners are removable, making it easy to eat, drink, and maintain your usual oral hygiene routine during treatment.

  • Virtually invisible aligners
  • Removable for eating and cleaning
  • Custom-fitted to your teeth
  • Treats crowding, gaps, and bite issues
  • Shorter treatment time than traditional braces
Get a Consultation
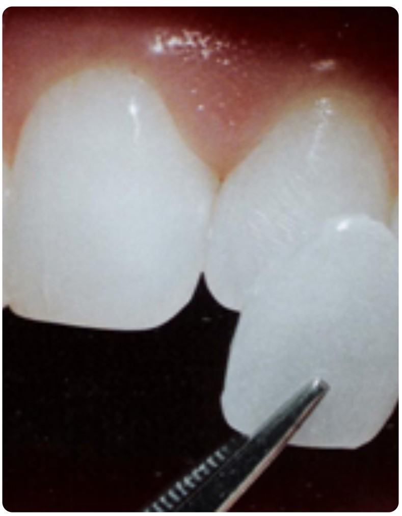
Porcelain Veneers Cosmetic
Cosmetic Dentistry

Porcelain Veneers

Many of us feel that our smiles are most striking when our teeth look especially white. To help you restore your gleaming, bright white smile, we offer custom porcelain veneers.

Veneers are ultra-thin shells of porcelain bonded to the front surface of teeth, correcting discolouration, chips, cracks, gaps, and minor misalignment beautifully.

  • Custom-crafted porcelain shells
  • Corrects stains, chips, and gaps
  • Natural-looking, long-lasting results
  • Minimal tooth preparation required
Book Consultation
Major Restorative Restorative
Restorative Dentistry

Crowns & Bridges

When a tooth is damaged or missing, crowns and bridges offer a natural-looking, durable solution that restores both function and aesthetics to your smile.

Dental crowns cap a damaged tooth to protect it, while bridges use surrounding teeth as anchors to fill the gap left by a missing tooth.

  • Porcelain, ceramic, and metal-fused options
  • Restores strength and function
  • Natural-looking colour matching
  • Protects damaged teeth from further wear
  • Fixed bridges for missing teeth
Book Appointment
Root Canal Treatment Endodontics
Endodontics

Root Canal Therapy

A root canal is a treatment used to repair and save a badly damaged or infected tooth instead of removing it. Modern root canal therapy is comfortable, efficient, and highly effective.

Our experienced team uses the latest techniques and technology to ensure your root canal procedure is as quick and comfortable as possible.

  • Eliminates tooth pain and infection
  • Saves your natural tooth
  • Modern, comfortable technique
  • Crown placed after for full protection
Book Appointment
Dental care for kids Pediatric
Pediatric Dentistry

Children's Dentistry

Building healthy dental habits from the very first visit is so important. Our team is experienced in making children feel comfortable and safe during their appointments.

We use a gentle, friendly approach to help children understand the importance of oral hygiene, turning what could be a scary experience into a positive one.

  • Gentle, child-friendly environment
  • First dental visit guidance for parents
  • Dental sealants for cavity prevention
  • Fluoride treatments
  • Education on brushing and flossing
Book for Your Child
Denture Care Restorative
Restorative Dentistry

Dentures & Partials

Full and partial denture solutions that look natural and restore your confidence to eat, speak, and smile freely. Modern dentures are more comfortable and realistic-looking than ever before.

  • Full and partial dentures available
  • Custom-fitted for comfort
  • Natural-looking appearance
  • Implant-supported denture options
  • Denture repair and adjustments
Book Consultation
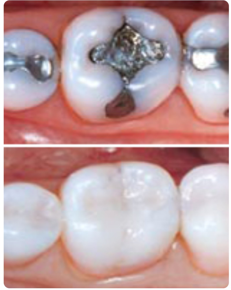
White fillings Restorative
Restorative Dentistry

Amalgam-Free Fillings

If your teeth are filled with dark metal amalgam fillings, your smile may be aging your appearance. Your discolored teeth may also cause embarrassment. Of most concern to your dentist, however, is that old amalgam fillings can crack over time.

Our tooth-coloured composite fillings blend seamlessly with your natural teeth, providing a beautiful, modern alternative to traditional metal fillings.

  • Tooth-coloured composite resin
  • Blends naturally with your smile
  • Mercury-free and safe
  • Bonds directly to tooth structure
  • Replacement of old amalgam fillings
Book Appointment
Stop bad breath Wellness
Oral Wellness

Fresh Breath Treatment

Persistent bad breath (halitosis) can have a significant impact on your confidence and daily life. The good news is that there are effective solutions available.

Our team will identify the underlying cause of your bad breath — whether it's gum disease, dry mouth, certain foods, or other factors — and create a personalized treatment plan.

  • Comprehensive oral health assessment
  • Identification of underlying causes
  • Gum disease treatment when needed
  • Customized treatment plans
  • Preventive guidance and hygiene tips
Book Assessment
Dental Surgery Oral Surgery
Oral Surgery

Wisdom Teeth Extraction

Wisdom teeth (third molars) often need to be removed when they cause pain, crowding, or other dental issues. Our oral surgery team performs extractions safely and comfortably.

We use modern anaesthesia and surgical techniques to ensure your procedure is as comfortable and recovery is as smooth as possible.

  • Simple and surgical extractions
  • Impacted wisdom tooth removal
  • Sedation options available
  • Clear post-operative care instructions
  • Follow-up care included
Book Consultation
CanadaInsurance
Government Plan

Canada Dental Care Plan

We are proud to accept the Canada Dental Care Plan (CDCP), a federal program helping Canadians who don't have access to dental insurance.

Our team will help you navigate your eligibility, coverage, and how to use your benefits. Don't let cost be a barrier to the dental care you deserve.

  • We are a registered CDCP provider
  • Covers eligible preventive and restorative care
  • Our team handles the paperwork for you
  • Available for qualifying patients and families
  • Ask our reception team about eligibility
Ask About Coverage

🆘 Dental Emergency?

We offer same-day emergency appointments. Don't suffer — call us right away.

📞 Call (905) 789-7339 Book Online